Blog
What to Do if Your Child Complains of Heel Pain

Heel pain in children is often caused by repetitive stress or overuse, similar to adults. A common cause is plantar fasciitis, which occurs when the thick band of tissue along the bottom of the foot becomes inflamed due to excessive strain. Other potential causes include Sever's disease, Achilles tendonitis, or poorly fitting shoes that lack proper support. The first thing to do to address heel pain is to have the child rest and reduce activities, like running or jumping that might worsen the condition. Ensure your child wears well-fitted shoes with good arch support and cushioning. If the heel pain persists or worsens, it is suggested that you schedule an appointment with a podiatrist to rule out more serious conditions and explore treatments such as orthotics, targeted exercises, or other interventions. Just as with adults, early treatment is essential to prevent long-term foot issues in children.
Many people suffer from bouts of heel pain. For more information, contact George Tellam, DPM of Ankle & Foot Associates. Our doctor can provide the care you need to keep you pain-free and on your feet.
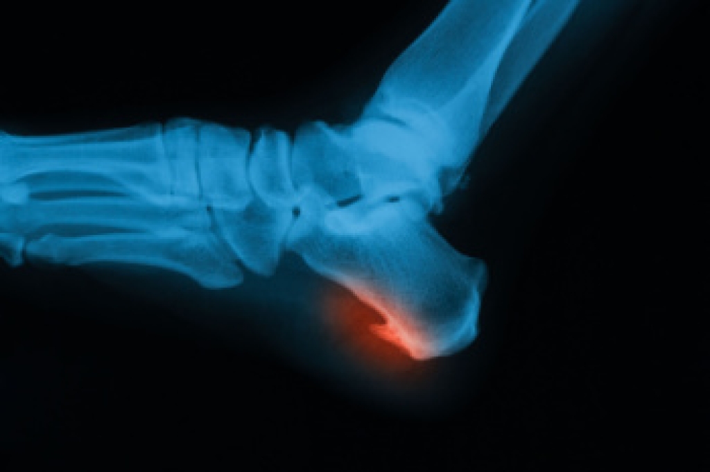
Causes of Heel Pain
Heel pain is often associated with plantar fasciitis. The plantar fascia is a band of tissues that extends along the bottom of the foot. A rip or tear in this ligament can cause inflammation of the tissue.
Achilles tendonitis is another cause of heel pain. Inflammation of the Achilles tendon will cause pain from fractures and muscle tearing. Lack of flexibility is also another symptom.
Heel spurs are another cause of pain. When the tissues of the plantar fascia undergo a great deal of stress, it can lead to ligament separation from the heel bone, causing heel spurs.
Why Might Heel Pain Occur?
- Wearing ill-fitting shoes
- Wearing non-supportive shoes
- Weight change
- Excessive running
Treatments
Heel pain should be treated as soon as possible for immediate results. Keeping your feet in a stress-free environment will help. If you suffer from Achilles tendonitis or plantar fasciitis, applying ice will reduce the swelling. Stretching before an exercise like running will help the muscles. Using all these tips will help make heel pain a condition of the past.
If you have any questions, please feel free to contact our offices located in Orange Park and Jacksonville Beach, FL . We offer the newest diagnostic and treatment technologies for all your foot care needs.
Understanding Pronation and Supination

Pronation and supination are essential movements of the foot during walking and running, each playing a significant role in your overall gait pattern. Pronation involves the inward roll of the foot as it makes contact with the ground. It helps absorb shock and distributes your body weight evenly. In contrast, supination refers to the outward roll of the foot, providing stability and leverage as you push off. While both of these motions are normal, excessive pronation or supination can become problematic. The result includes increased wear on your shoes, ankle instability, and pain in the knees, hips, or lower back. Abnormal pronation can strain your feet as well as affect your posture. A podiatrist can assess your gait and identify any biomechanical imbalance. Treatment may include custom orthotics or specialized exercises to help restore proper foot function. If you have foot pain related to an abnormal gait, it is suggested that you schedule an appointment with a podiatrist for a gait analysis and treatment.
If you have any concerns about your feet, contact George Tellam, DPM from Ankle & Foot Associates. Our doctor can provide the care you need to keep you pain-free and on your feet.
Biomechanics in Podiatry
Podiatric biomechanics is a particular sector of specialty podiatry with licensed practitioners who are trained to diagnose and treat conditions affecting the foot, ankle and lower leg. Biomechanics deals with the forces that act against the body, causing an interference with the biological structures. It focuses on the movement of the ankle, the foot and the forces that interact with them.
A History of Biomechanics
- Biomechanics dates back to the BC era in Egypt where evidence of professional foot care has been recorded.
- In 1974, biomechanics gained a higher profile from the studies of Merton Root, who claimed that by changing or controlling the forces between the ankle and the foot, corrections or conditions could be implemented to gain strength and coordination in the area.
Modern technological improvements are based on past theories and therapeutic processes that provide a better understanding of podiatric concepts for biomechanics. Computers can provide accurate information about the forces and patterns of the feet and lower legs.
Understanding biomechanics of the feet can help improve and eliminate pain, stopping further stress to the foot.
If you have any questions please feel free to contact our offices located in Orange Park and Jacksonville Beach, FL . We offer the newest diagnostic and treatment technologies for all your foot and ankle needs.
Exploring the Genetic Link to Gout

Gout, a form of arthritis causing sudden, severe pain and swelling in the joints, has a notable genetic component. Research indicates that individuals with a family history of gout are at a higher risk of developing the condition themselves. This genetic predisposition often involves variations in genes that affect the body's ability to regulate uric acid levels. Elevated uric acid, which can form painful crystals in the joints, typically in the big toe, is a key factor in gout. Genetics may influence how the body processes purines, which are substances found in certain foods that can contribute to uric acid buildup. While genetics play a significant role, lifestyle and dietary choices also impact the likelihood of developing gout. Understanding this connection can help in managing and preventing the condition through both genetic awareness and proactive lifestyle adjustments. Gout can cause severe pain and discomfort. If you have had one or more gout attacks, it is strongly suggested that you are under the care of a podiatrist who can help you manage this condition.
Gout is a foot condition that requires certain treatment and care. If you are seeking treatment, contact George Tellam, DPM from Ankle & Foot Associates. Our doctor will treat your foot and ankle needs.
What Is Gout?
Gout is a type of arthritis caused by a buildup of uric acid in the bloodstream. It often develops in the foot, especially the big toe area, although it can manifest in other parts of the body as well. Gout can make walking and standing very painful and is especially common in diabetics and the obese.
People typically get gout because of a poor diet. Genetic predisposition is also a factor. The children of parents who have had gout frequently have a chance of developing it themselves.
Gout can easily be identified by redness and inflammation of the big toe and the surrounding areas of the foot. Other symptoms include extreme fatigue, joint pain, and running high fevers. Sometimes corticosteroid drugs can be prescribed to treat gout, but the best way to combat this disease is to get more exercise and eat a better diet.
If you have any questions, please feel free to contact our offices located in Orange Park and Jacksonville Beach, FL . We offer the newest diagnostic and treatment technologies for all your foot care needs.
Facts About Cuboid Syndrome

Cuboid syndrome is a condition where the cuboid bone in the foot becomes partially dislocated, leading to pain and discomfort, typically on the outer side of the foot. It often occurs due to an injury, such as an ankle sprain, or from repetitive strain, especially in activities like running or jumping where the foot is under constant stress. Symptoms include sharp pain on the outer side of the foot, difficulty bearing weight, and sometimes swelling. The pain may worsen during activities that involve pushing off with the foot, such as walking, running, or jumping. Early diagnosis and treatment is vital. Treatment typically involves rest and immobilization to reduce inflammation, followed by targeted exercises to restore normal function. A podiatrist might also perform a cuboid manipulation to reposition the bone. Proper footwear, orthotics, and stretching exercises can help to prevent recurrence and support long-term foot health. If you have pain on the outside of your foot, it is suggested that you schedule an appointment with a podiatrist for a proper diagnosis and treatment.
Cuboid syndrome, also known as cuboid subluxation, occurs when the joints and ligaments near the cuboid bone in the foot become torn. If you have cuboid syndrome, consult with George Tellam, DPM from Ankle & Foot Associates. Our doctor will assess your condition and provide you with quality foot and ankle treatment.
Cuboid syndrome is a common cause of lateral foot pain, which is pain on the outside of the foot. The condition may happen suddenly due to an ankle sprain, or it may develop slowly overtime from repetitive tension through the bone and surrounding structures.
Causes
The most common causes of cuboid syndrome include:
- Injury – The most common cause of this ailment is an ankle sprain.
- Repetitive Strain – Tension placed through the peroneus longus muscle from repetitive activities such as jumping and running may cause excessive traction on the bone causing it to sublux.
- Altered Foot Biomechanics – Most people suffering from cuboid subluxation have flat feet.
Symptoms
A common symptom of cuboid syndrome is pain along the outside of the foot which can be felt in the ankle and toes. This pain may create walking difficulties and may cause those with the condition to walk with a limp.
Diagnosis
Diagnosis of cuboid syndrome is often difficult, and it is often misdiagnosed. X-rays, MRIs and CT scans often fail to properly show the cuboid subluxation. Although there isn’t a specific test used to diagnose cuboid syndrome, your podiatrist will usually check if pain is felt while pressing firmly on the cuboid bone of your foot.
Treatment
Just as the range of causes varies widely, so do treatments. Some more common treatments are ice therapy, rest, exercise, taping, and orthotics.
If you have any questions, please feel free to contact our offices located in Orange Park and Jacksonville Beach, FL . We offer the newest diagnostic and treatment technologies for all your foot care needs.
